
Research Projects
Characterizing the Importance of Estrogen Metabolism in Driving the Gut Microbe-Breast Cancer Relationship
Metabolism of excreted estrogen by gut microbes (the estrobolome) has been implicated in a wide range of hormone-driven diseases including breast cancer. One microbe, Blautia coccoides, with this capability has been correlated with breast cancer stage and grade. However, estrobolome activity has not been verified as the sole driver of this association. Further, many correlative studies do not distinguish between estrogen receptor positive (ER+) and estrogen receptor negative (ER-) disease. We leverage a range of cell culture models to isolate drivers of this relationship so that targeted inhibitors may be developed to improve intervention strategies in early stage disease.
Diet-Driven Changes to Microbial Metabolites and Their Impacts on Therapeutic Outcomes
Fecal microbiome transfer (FMT) and high fiber diet-intervention studies have identified a significant contribution of the gut microbiome to response rates in therapies such as anti-PD1 immunotherapy. Similar diet interventions have shown paradoxical impacts in reducing immune activity leading to improvements in autoimmune or chronic inflammatory conditions. To better understand and leverage these relationships, our lab uses in vitro model systems to investigate the relationship between particular dietary components, modulation of microbial metabolism, and disease in downstream tissues in the hopes of developing better prebiotics.
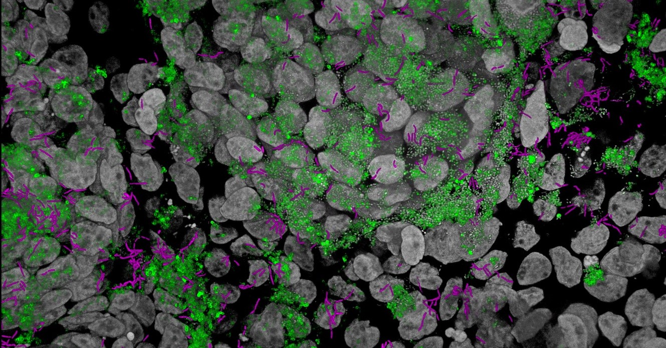
Organ-on-Chip Models to Study Microbial Metabolites
Using our previously published model, we are tailoring gut microbiome-on-chip devices to study how components of our diets impact microbial metabolite levels, and how those impact health and disease states throughout the body. To do this, we are optimizing culture conditions to integrate physiologically relevant media substitutes and are reconstructing the protective mucus niche using cell line-based model systems.


